매탄동정형외과 복사뼈통증 왜 나타날까?

발목 주변이 불편한 경험은 생각보다 많은 분들이 겪습니다. 특히 복사뼈 주변이 찌릿하거나 타는 듯한 통증이 느껴지면 그저 발목을 삐었거나 잠깐 무리했기 때문이라고 생각하고 넘기기 쉽습니다. 하지만 통증이 반복되거나 점점 범위가 넓어지는 느낌이 있다면 다른 원인을 고려해 볼 필요가 있습니다.
최근 매탄동정형외과 에스유신경외과에도 복사뼈통증을 호소하며 방문하는 분들이 꾸준히 늘고 있습니다. 평소에는 괜찮다가 오래 걷거나 서 있는 날 이후에 발목 안쪽이 불편해지고 시간이 지나면서 발바닥이나 발가락까지 찌릿한 느낌이 이어지는 경우도 있습니다.


이런 경우에는 발목 주변 구조 중에서도 신경 압박과 관련된 문제를 의심해 볼 수 있는데, 그중 하나가 바로 발목터널증후군입니다. 오늘은 복사뼈통증이 나타나는 이유와 함께 발목터널증후군이 어떤 질환인지 그리고 어떤 방식으로 관리와 치료가 이루어지는지 차근차근 알아보겠습니다.


복사뼈통증 일반적인 발목 통증과 다른 이유
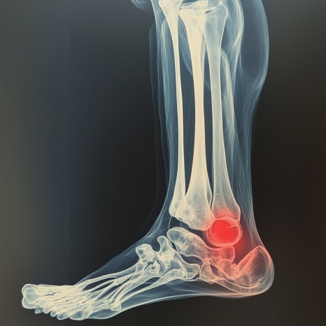
복사뼈는 발목 관절을 이루는 중요한 구조입니다. 발목에는 안쪽 복사뼈와 바깥쪽 복사뼈가 있으며 이 주변에는 인대와 힘줄, 신경, 혈관이 복잡하게 지나갑니다. 대부분의 발목 통증은 염좌처럼 인대 손상과 관련된 경우가 많지만 복사뼈 안쪽에서 시작되는 통증이라면 신경 압박이 원인일 가능성도 있습니다.
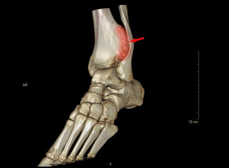
특히 발목 안쪽 복사뼈 뒤쪽에는 경골신경이 지나가는 통로가 있습니다. 이 공간을 족근관이라고 부르는데 이 부위에서 신경이 눌리면 발목터널증후군이 발생할 수 있습니다. 처음에는 발목이 뻐근한 정도로 시작하지만 점점 다음과 같은 변화가 나타날 수 있습니다.


발목터널증후군이란 무엇일까?
발목터널증후군은 발목 안쪽에 위치한 족근관 부위에서 신경이 압박되면서 발생하는 질환입니다. 발목 안쪽 복사뼈 뒤쪽에는 신경과 혈관, 힘줄이 지나가는 좁은 통로가 있습니다. 이 통로를 족근관이라고 부르는데 이곳을 경골신경이 지나갑니다.
이 부위에서 주변 조직이 붓거나 공간이 좁아지게 되면 신경이 눌리면서 통증이나 불편감이 발생할 수 있습니다. 손목에서 발생하는 손목터널증후군과 비슷한 개념이지만 위치가 발목이라는 차이가 있습니다.
신경이 지나가는 공간은 원래 넓지 않기 때문에 발목 주변에 염증이 생기거나 조직이 두꺼워지는 변화가 생기면 압박이 발생하기 쉽습니다. 이러한 상태가 지속되면 발목 주변 통증뿐 아니라 발바닥까지 영향을 줄 수 있습니다.

발목터널증후군이 나타나는 주요 원인
복사뼈 주변 통증은 여러 가지 원인으로 발생할 수 있습니다. 발목터널증후군 역시 다양한 요인이 영향을 미치면서 나타나는 경우가 많습니다.
1. 발목 염좌 이후 변화
발목을 삔 이후 인대와 주변 조직에 염증이 남아 있으면 신경이 지나가는 공간이 좁아질 수 있습니다. 초기에는 큰 문제가 없어 보이지만 시간이 지나면서 복사뼈 주변 통증으로 이어질 수 있습니다.
2. 평발 구조
발 아치가 낮은 평발에서는 발목 안쪽으로 체중이 더 많이 실리는 경우가 있습니다. 이런 구조에서는 족근관 부위에 부담이 증가하면서 신경 압박 가능성이 높아질 수 있습니다.
3. 반복적인 발목 사용
장시간 걷거나 서 있는 시간이 많다면 발목 주변 힘줄과 인대에 지속적인 부담이 가해질 수 있습니다. 이러한 반복 자극은 주변 조직의 긴장과 염증을 유발할 수 있습니다.
4. 힘줄 주변 염증
발목 안쪽에는 여러 힘줄이 지나가는데, 이 부위에 염증이 생기면 신경이 지나가는 공간이 좁아질 수 있습니다.
5. 조직 비후 또는 낭종
발목 주변 조직이 두꺼워지거나 작은 낭종이 생기는 경우에도 신경 압박이 발생할 수 있습니다. 이처럼 복사뼈통증은 한 가지 원인보다는 여러 요인이 복합적으로 작용하면서 나타나는 경우가 많습니다.

발목터널증후군이 느껴진다면 확인이 필요합니다
복사뼈통증이 나타날 때 다음과 같은 변화가 함께 느껴진다면 발목 주변 신경 압박을 의심해 볼 수 있습니다.
▶ 복사뼈 안쪽에서 시작되는 찌릿한 통증
▶ 발바닥으로 이어지는 저림
▶ 오래 서 있거나 걷는 동안 통증이 심해짐
▶ 발바닥이 화끈거리거나 감각이 둔해지는 느낌
▶ 발가락 쪽으로 불편함이 이어지는 경우
특히 발목 통증과 함께 저림이나 감각 변화가 동반된다면 신경이 영향을 받고 있을 가능성을 고려해 볼 수 있습니다.


체외충격파 치료는 어떻게 진행될까?
복사뼈통증이 지속될 때 활용되는 방법 중 하나가 체외충격파 치료입니다. 체외충격파는 통증이 발생하는 부위에 충격파 에너지를 전달하여 조직 회복을 돕는 방식입니다. 충격파 자극이 전달되면 혈류 개선과 조직 재생 반응이 활성화될 수 있습니다. 이 과정은 발목 주변 힘줄과 인대 조직의 회복 환경을 만들어 주는 데 도움을 줄 수 있습니다.
절개 과정 없이 진행되는 방식이며 비교적 짧은 시간 내에 시행됩니다. 개인의 상태에 따라 치료 강도와 횟수가 조절되며 반복적인 자극을 통해 발목 주변 조직의 회복을 유도하는 방향으로 진행됩니다.


복사뼈통증을 오래 방치하지 않는 것이 중요합니다
발목 통증은 일시적인 피로나 무리한 활동 때문이라고 생각하고 넘기기 쉽습니다. 하지만 복사뼈 주변 통증이 반복되거나 발바닥까지 불편함이 이어진다면 발목 구조에 변화가 생겼을 가능성도 있습니다. 발목은 일상생활에서 계속 사용되는 관절이기 때문에 작은 통증도 시간이 지나면서 불편함이 커질 수 있습니다. 따라서 통증이 반복된다면 상태를 확인하고 관리 방향을 찾는 것이 도움이 될 수 있습니다.

발목터널증후군 통증 관리에서 중요한 부분
발목 통증이 있을 때는 무조건 움직임을 줄이기보다는 발목에 가해지는 부담을 줄이는 것이 중요합니다. 다음과 같은 생활 관리가 도움이 될 수 있습니다.
|
발목 스트레칭과 가벼운 운동
|
|
발목을 안정적으로 지지해 주는 신발 착용
|
|
장시간 서 있는 시간 줄이기
|
|
발 아치 지지 깔창 사용 고려
|
|
발목 주변 근육 강화
|
발목은 체중을 지탱하는 관절이기 때문에 작은 변화라도 지속되면 불편함이 커질 수 있습니다.


복사뼈통증은 발목 염좌처럼 흔한 문제로 보일 수 있지만, 신경 압박과 관련된 경우라면 접근 방법이 달라질 수 있습니다. 매탄동정형외과 에스유신경외과에서는 발목 주변 통증의 원인을 확인하고 상태에 맞는 관리 방법을 안내하고 있습니다. 발목 구조와 신경 상태 등을 함께 고려해 다양한 방법으로 통증 완화를 돕고 있습니다.
복사뼈 주변 통증이 반복되거나 발바닥까지 이어지는 불편함이 느껴진다면 발목 상태를 한 번 확인해 보는 것도 도움이 될 수 있습니다. 발목 건강을 위해 몸이 보내는 신호를 놓치지 않는 것이 중요합니다.

'비수술관절치료' 카테고리의 다른 글
| 프롤로테라피주사치료, 통증 개선 가능할까? (0) | 2026.03.12 |
|---|---|
| 권선구정형외과 손목떨림 증상이 느껴진다면? (0) | 2026.03.11 |
| 수원회전근개파열 어깨 힘줄 손상 증상과 치료 (0) | 2026.03.09 |
| 갑자기 양쪽어깨통증이 나타나는 원인은?? (0) | 2026.03.06 |
| 권선구정형외과추천 새끼손가락마디통증으로 불편하다면? (0) | 2026.03.05 |